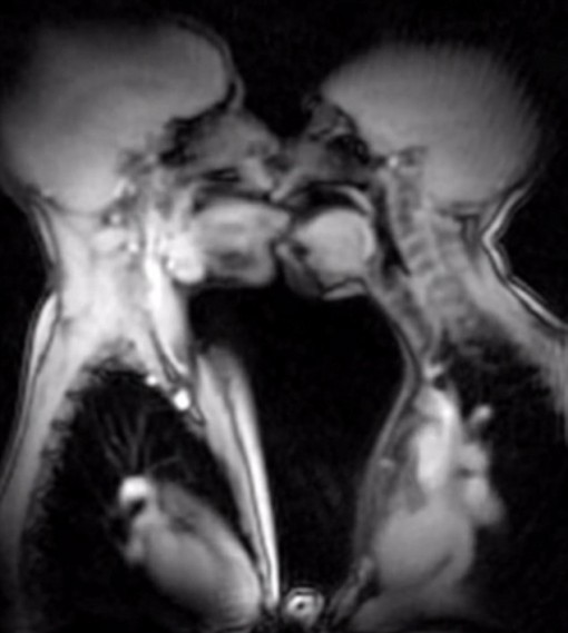
Magneettikuvaus (MRI) on erinomainen tapa diagnosoida sairauksia. Magneetti-impulssit ovat röntgensäteistä poiketen ihmiselle täysin harmittomia, ja näiden avulla on mahdollista nähdä erittäin tarkasti myös pehmeän kudoksen muodostumat ja verenkierto. Magneettikuvauksen turvallisuus ja monipuoliset mahdollisuudet ovat inspiroineet Berliinissä toimivaa Charité -yliopistosairaalaa koettelemaan magneettikuvauksen rajoja. Oheisella videolla on mahdollista nähdä esimerkiksi synnytys, seksiä ja muita ihmiskehon toimintoja magneettikuvattuna. Katso ja äimisty!

