
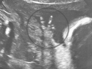
Muistanette vielä tuon voitonmerkin, jota mm. Winston Churchill aikoinaan näytti toisen maailmansodan loputtua. Hän taisi heilutella sormiaan sekä selkä- että kämmenpuolelta. Edellinenhän on tunnetusti myös töykeä merkki tietyissä osissa maailmaa, mm. Lontoossa, jossa tämä vauva sitä näyttää, 35-vuotiaan Carolinen kohdussa. Merkki aiheutti yleistä hilpeyttä hoitajien keskuudessa ja sormet pysyivät asennossa koko kuvauksen ajan.
Carolinen mies totesi, että täytyypä opettaa lapselle tapoja, kunhan syntyy. Toisaalta ties vaikka olisi Churchillin reinkarnaatio. Onko kenelläkään lukijoistamme tietoa erikoisuuksista ultraäänikuvissa?
Lähde: www.thesun.co.uk
